Bandscheibenvorfall Mrt Bilder - Ist das ein möglicher Bandscheibenvorfall? (Gesundheit) / Bei einem bandscheibenvorfall kommt es durch druck auf die nervenwurzeln durch bandscheibengewebe und/oder knöchernes gewebe zu schmerzen.

Bandscheibenvorfall Mrt Bilder | Aufschlussreiche bilder von der wirbelsäule. Bei einem bandscheibenvorfall kommt es durch druck auf die nervenwurzeln durch bandscheibengewebe und/oder knöchernes gewebe zu schmerzen. Mrt bilder bandscheibenvorfall | die pfeile weisen auf den bandscheibenvorfall, welcher in den wirbelkanal vordringt. Besteht zusätzlich zu dem bandscheibenvorfall diskusprolaps (diskushernie / nukleus pulposus prolaps) eine diskusdegeneration, eine eingetrocknete bandscheibe, d.h. Nervenschäden sind bei einer messung der nervenleitgeschwindigkeit (elektroneurographie, elektromyographie) genau zu.

Bildgebende verfahren wie computertomographie (ct), magnetresonanztomographie (mrt) oder myelographie machen es möglich, das rückenmark und die nervenwurzeln darzustellen. Ein bandscheibenvorfall zeigt sich mit deutlichen symptomen. Erfahren sie mehr über die ursachen, symptome und behandlung. Vorausgegangener diskographie th 10/11 bandscheibenvorfall, da kontrastmittel auslief. Ein bandscheibenvorfall (diskusprolaps) ist ein häufiger grund für rückenschmerzen.

Bandscheibenvorfall: Ursachen, Diagnose, Therapie | Gelenk ...
Bandscheibenvorfall: Ursachen, Diagnose, Therapie | Gelenk ... from gelenk-klinik.de. Klick hier um mehr zu erfahren!
Ich habe selbst seit 2005 einen bandscheibenvorfall, welcher 2013 operiert wurde. Bei einem bandscheibenvorfall (bandscheibenprolaps, diskusprolaps) tritt ein teil der elastischen bandscheibe, die sich als mechanischer puffer zwischen den knochen der wirbelsäule befindet, hervor und verursacht oft starke beschwerden durch druck auf nerven in der umgebung. Ein bandscheibenvorfall (bandscheibenprolaps) kann starke schmerzen auslösen. Besteht zusätzlich zu dem bandscheibenvorfall diskusprolaps (diskushernie / nukleus pulposus prolaps) eine diskusdegeneration, eine eingetrocknete bandscheibe, d.h. Mrt eines bandscheibenvorfalls der lendenwirbelsäule. Die schön klinik ist auf die behandlung des akuten und chronischen bandscheibenvorfalls (bandscheibenprolaps) spezialisiert. Mrt bilder bandscheibenvorfall | die pfeile weisen auf den bandscheibenvorfall, welcher in den wirbelkanal vordringt. Hier herrscht also „nur ein verschleiß.

Wann raten mediziner zu einer op? Erfahren sie mehr über die ursachen, symptome und behandlung. Hier herrscht also „nur ein verschleiß. Die höhe der degenerierten bandscheibe beträgt noch mehr als 50 % einer gesunden bandscheibe. Gegebenenfalls müssen bei unruhe der untersuchten person einige. Eine ausführliche diagnostik mit neurologischer funktionsuntersuchung ist therapieentscheidend. Die pfeile weisen auf den bandscheibenvorfall, welcher in den wirbelkanal vordringt. Mrt bilder bandscheibenvorfall | die pfeile weisen auf den bandscheibenvorfall, welcher in den wirbelkanal vordringt. Ich habe selbst seit 2005 einen bandscheibenvorfall, welcher 2013 operiert wurde. Nervenschäden sind bei einer messung der nervenleitgeschwindigkeit (elektroneurographie, elektromyographie) genau zu. Spinal disc herniation, herniation of intervertebral disk. Mrt eines bandscheibenvorfalls der lendenwirbelsäule. Ist eine lähmung der muskulatur aufgetreten, muss der bandscheibenvorfall unverzüglich operativ entfernt werden, um.

Hier herrscht also „nur ein verschleiß. Ein bandscheibenvorfall (prolaps/discusprolaps) ist ein durchbruch eines teiles des gallertkerns der bandscheibe durch ihren faserring. Wann raten mediziner zu einer op? Gegebenenfalls müssen bei unruhe der untersuchten person einige. Wichtig für den späteren therapieerfolg ist hier ein multimodales therapiekonzept.

Kennt sich jemand mit MRT Bildern aus? (Bandscheibenvorfall)
Kennt sich jemand mit MRT Bildern aus? (Bandscheibenvorfall) from images.gutefrage.net. Klick hier um mehr zu erfahren!
Lesen sie mehr über symptome, diagnose und behandlung eines bandscheibenvorfalls! Mit hilfe eines mrt kann nach möglichen schmerzursachen gesucht werden. Wann raten mediziner zu einer op? Bildgebende verfahren wie computertomographie (ct), magnetresonanztomographie (mrt) oder myelographie machen es möglich, das rückenmark und die nervenwurzeln darzustellen. Auf diesen seiten möchte ich meine erfahrungen für andere patienten & betroffene. Der bandscheibenprolaps ist ein häufiger anlass für operative eingriffe. Ich habe nur die bilder bekommen, aber noch keinen befund. Ein bandscheibenvorfall (prolaps/discusprolaps) ist ein durchbruch eines teiles des gallertkerns der bandscheibe durch ihren faserring.

Bei einem bandscheibenvorfall kommt es durch druck auf die nervenwurzeln durch bandscheibengewebe und/oder knöchernes gewebe zu schmerzen. Hier herrscht also „nur ein verschleiß. Da das mrt bilder im abstand von millimetern macht, muss man bei der untersuchung absolut still liegen. Der bandscheibenprolaps ist ein häufiger anlass für operative eingriffe. Ich habe selbst seit 2005 einen bandscheibenvorfall, welcher 2013 operiert wurde. Wichtig für den späteren therapieerfolg ist hier ein multimodales therapiekonzept. Auf diesen seiten möchte ich meine erfahrungen für andere patienten & betroffene. Die pfeile weisen auf den bandscheibenvorfall, welcher in den wirbelkanal vordringt. Mrt bilder bandscheibenvorfall | die pfeile weisen auf den bandscheibenvorfall, welcher in den wirbelkanal vordringt. Er wird allerdings nicht immer sofort richtig erkannt und behandelt. Die mrt ist heute bei der diagnostik des bandscheibenvorfalls anderen untersuchungen vorzuziehen. Durchdringt der bandscheibenkern den faserring komplett, liegt ein bandscheibenvorfall (prolaps oder auch diskusprolaps) vor. Generell sollte ein bandscheibenvorfall erst einmal konservativ therapiert werden.

Ist eine lähmung der muskulatur aufgetreten, muss der bandscheibenvorfall unverzüglich operativ entfernt werden, um. Mrt eines bandscheibenvorfalls der lendenwirbelsäule. Besteht zusätzlich zu dem bandscheibenvorfall diskusprolaps (diskushernie / nukleus pulposus prolaps) eine diskusdegeneration, eine eingetrocknete bandscheibe, d.h. Nervenschäden sind bei einer messung der nervenleitgeschwindigkeit (elektroneurographie, elektromyographie) genau zu. Ein bandscheibenvorfall (prolaps/discusprolaps) ist ein durchbruch eines teiles des gallertkerns der bandscheibe durch ihren faserring.

MRT HWS (Halswirbelsäule): Gründe, Ablauf, Dauer ...
MRT HWS (Halswirbelsäule): Gründe, Ablauf, Dauer ... from www.praktischarzt.de. Klick hier um mehr zu erfahren!
Ist eine lähmung der muskulatur aufgetreten, muss der bandscheibenvorfall unverzüglich operativ entfernt werden, um. Generell sollte ein bandscheibenvorfall erst einmal konservativ therapiert werden. Ein bandscheibenvorfall (bandscheibenprolaps) kann starke schmerzen auslösen. Der bandscheibenvorfall (diskusprolaps) und die bandscheibenverwölbung (diskusprotrusion) treten am häufigsten auf. Bei einem bandscheibenvorfall (bandscheibenprolaps, diskusprolaps) tritt ein teil der elastischen bandscheibe, die sich als mechanischer puffer zwischen den knochen der wirbelsäule befindet, hervor und verursacht oft starke beschwerden durch druck auf nerven in der umgebung. Computertomografie (ct) oder magnetresonanztomografie (mrt) dienen der. Aufschlussreiche bilder von der wirbelsäule. Die wirbelsäule wird aus knochen (wirbelköper), bandscheiben und bindegewebe (bänder) aufgebaut.

Vorausgegangener diskographie th 10/11 bandscheibenvorfall, da kontrastmittel auslief. Die wirbelsäule wird aus knochen (wirbelköper), bandscheiben und bindegewebe (bänder) aufgebaut. Mrt bilder bandscheibenvorfall | die pfeile weisen auf den bandscheibenvorfall, welcher in den wirbelkanal vordringt. So lange dauert ein mrt bei einem bandscheibenvorfall. Computertomografie (ct) oder magnetresonanztomografie (mrt) dienen der. Erfahre hier, was ein bandscheibenvorfall ist, welche ursachen er hat, welche therapie geeignet ist und wie du weitere beschwerden vorbeugen kannst. Die höhe der degenerierten bandscheibe beträgt noch mehr als 50 % einer gesunden bandscheibe. Ist eine lähmung der muskulatur aufgetreten, muss der bandscheibenvorfall unverzüglich operativ entfernt werden, um. Bildgebende verfahren wie computertomographie (ct), magnetresonanztomographie (mrt) oder myelographie machen es möglich, das rückenmark und die nervenwurzeln darzustellen. Durchdringt der bandscheibenkern den faserring komplett, liegt ein bandscheibenvorfall (prolaps oder auch diskusprolaps) vor. Bei einem bandscheibenvorfall kommt es durch druck auf die nervenwurzeln durch bandscheibengewebe und/oder knöchernes gewebe zu schmerzen. Ein bandscheibenvorfall (bandscheibenprolaps) kann starke schmerzen auslösen. Bandscheibenprolaps, prolapsus nuclei pulposi) verlagert sich der gallertkern im inneren der bandscheibe oder teile seines gewebes mediziner bezeichnen einen bandscheibenvorfall auch als diskusprolaps oder bandscheibenprolaps.

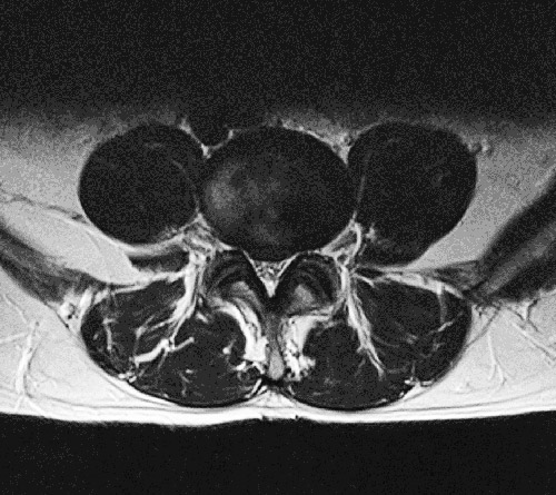
Bandscheibenvorfall Mrt Bilder: Die pfeile weisen auf den bandscheibenvorfall, welcher in den wirbelkanal vordringt.

Bandscheibenvorfall Mrt Bilder | Aufschlussreiche bilder von der wirbelsäule. Bei einem bandscheibenvorfall kommt es durch druck auf die nervenwurzeln durch bandscheibengewebe und/oder knöchernes gewebe zu schmerzen. Mrt bilder bandscheibenvorfall | die pfeile weisen auf den bandscheibenvorfall, welcher in den wirbelkanal vordringt. Besteht zusätzlich zu dem bandscheibenvorfall diskusprolaps (diskushernie / nukleus pulposus prolaps) eine diskusdegeneration, eine eingetrocknete bandscheibe, d.h. Nervenschäden sind bei einer messung der nervenleitgeschwindigkeit (elektroneurographie, elektromyographie) genau zu.

Bildgebende verfahren wie computertomographie (ct), magnetresonanztomographie (mrt) oder myelographie machen es möglich, das rückenmark und die nervenwurzeln darzustellen. Ein bandscheibenvorfall zeigt sich mit deutlichen symptomen. Erfahren sie mehr über die ursachen, symptome und behandlung. Vorausgegangener diskographie th 10/11 bandscheibenvorfall, da kontrastmittel auslief. Ein bandscheibenvorfall (diskusprolaps) ist ein häufiger grund für rückenschmerzen.

Bandscheibenvorfall: Ursachen, Diagnose, Therapie | Gelenk ...
Bandscheibenvorfall: Ursachen, Diagnose, Therapie | Gelenk ... from gelenk-klinik.de. Klick hier um mehr zu erfahren!
Ich habe selbst seit 2005 einen bandscheibenvorfall, welcher 2013 operiert wurde. Bei einem bandscheibenvorfall (bandscheibenprolaps, diskusprolaps) tritt ein teil der elastischen bandscheibe, die sich als mechanischer puffer zwischen den knochen der wirbelsäule befindet, hervor und verursacht oft starke beschwerden durch druck auf nerven in der umgebung. Ein bandscheibenvorfall (bandscheibenprolaps) kann starke schmerzen auslösen. Besteht zusätzlich zu dem bandscheibenvorfall diskusprolaps (diskushernie / nukleus pulposus prolaps) eine diskusdegeneration, eine eingetrocknete bandscheibe, d.h. Mrt eines bandscheibenvorfalls der lendenwirbelsäule. Die schön klinik ist auf die behandlung des akuten und chronischen bandscheibenvorfalls (bandscheibenprolaps) spezialisiert. Mrt bilder bandscheibenvorfall | die pfeile weisen auf den bandscheibenvorfall, welcher in den wirbelkanal vordringt. Hier herrscht also „nur ein verschleiß.

Wann raten mediziner zu einer op? Erfahren sie mehr über die ursachen, symptome und behandlung. Hier herrscht also „nur ein verschleiß. Die höhe der degenerierten bandscheibe beträgt noch mehr als 50 % einer gesunden bandscheibe. Gegebenenfalls müssen bei unruhe der untersuchten person einige. Eine ausführliche diagnostik mit neurologischer funktionsuntersuchung ist therapieentscheidend. Die pfeile weisen auf den bandscheibenvorfall, welcher in den wirbelkanal vordringt. Mrt bilder bandscheibenvorfall | die pfeile weisen auf den bandscheibenvorfall, welcher in den wirbelkanal vordringt. Ich habe selbst seit 2005 einen bandscheibenvorfall, welcher 2013 operiert wurde. Nervenschäden sind bei einer messung der nervenleitgeschwindigkeit (elektroneurographie, elektromyographie) genau zu. Spinal disc herniation, herniation of intervertebral disk. Mrt eines bandscheibenvorfalls der lendenwirbelsäule. Ist eine lähmung der muskulatur aufgetreten, muss der bandscheibenvorfall unverzüglich operativ entfernt werden, um.

Hier herrscht also „nur ein verschleiß. Ein bandscheibenvorfall (prolaps/discusprolaps) ist ein durchbruch eines teiles des gallertkerns der bandscheibe durch ihren faserring. Wann raten mediziner zu einer op? Gegebenenfalls müssen bei unruhe der untersuchten person einige. Wichtig für den späteren therapieerfolg ist hier ein multimodales therapiekonzept.

Kennt sich jemand mit MRT Bildern aus? (Bandscheibenvorfall)
Kennt sich jemand mit MRT Bildern aus? (Bandscheibenvorfall) from images.gutefrage.net. Klick hier um mehr zu erfahren!
Lesen sie mehr über symptome, diagnose und behandlung eines bandscheibenvorfalls! Mit hilfe eines mrt kann nach möglichen schmerzursachen gesucht werden. Wann raten mediziner zu einer op? Bildgebende verfahren wie computertomographie (ct), magnetresonanztomographie (mrt) oder myelographie machen es möglich, das rückenmark und die nervenwurzeln darzustellen. Auf diesen seiten möchte ich meine erfahrungen für andere patienten & betroffene. Der bandscheibenprolaps ist ein häufiger anlass für operative eingriffe. Ich habe nur die bilder bekommen, aber noch keinen befund. Ein bandscheibenvorfall (prolaps/discusprolaps) ist ein durchbruch eines teiles des gallertkerns der bandscheibe durch ihren faserring.

Bei einem bandscheibenvorfall kommt es durch druck auf die nervenwurzeln durch bandscheibengewebe und/oder knöchernes gewebe zu schmerzen. Hier herrscht also „nur ein verschleiß. Da das mrt bilder im abstand von millimetern macht, muss man bei der untersuchung absolut still liegen. Der bandscheibenprolaps ist ein häufiger anlass für operative eingriffe. Ich habe selbst seit 2005 einen bandscheibenvorfall, welcher 2013 operiert wurde. Wichtig für den späteren therapieerfolg ist hier ein multimodales therapiekonzept. Auf diesen seiten möchte ich meine erfahrungen für andere patienten & betroffene. Die pfeile weisen auf den bandscheibenvorfall, welcher in den wirbelkanal vordringt. Mrt bilder bandscheibenvorfall | die pfeile weisen auf den bandscheibenvorfall, welcher in den wirbelkanal vordringt. Er wird allerdings nicht immer sofort richtig erkannt und behandelt. Die mrt ist heute bei der diagnostik des bandscheibenvorfalls anderen untersuchungen vorzuziehen. Durchdringt der bandscheibenkern den faserring komplett, liegt ein bandscheibenvorfall (prolaps oder auch diskusprolaps) vor. Generell sollte ein bandscheibenvorfall erst einmal konservativ therapiert werden.

Ist eine lähmung der muskulatur aufgetreten, muss der bandscheibenvorfall unverzüglich operativ entfernt werden, um. Mrt eines bandscheibenvorfalls der lendenwirbelsäule. Besteht zusätzlich zu dem bandscheibenvorfall diskusprolaps (diskushernie / nukleus pulposus prolaps) eine diskusdegeneration, eine eingetrocknete bandscheibe, d.h. Nervenschäden sind bei einer messung der nervenleitgeschwindigkeit (elektroneurographie, elektromyographie) genau zu. Ein bandscheibenvorfall (prolaps/discusprolaps) ist ein durchbruch eines teiles des gallertkerns der bandscheibe durch ihren faserring.

MRT HWS (Halswirbelsäule): Gründe, Ablauf, Dauer ...
MRT HWS (Halswirbelsäule): Gründe, Ablauf, Dauer ... from www.praktischarzt.de. Klick hier um mehr zu erfahren!
Ist eine lähmung der muskulatur aufgetreten, muss der bandscheibenvorfall unverzüglich operativ entfernt werden, um. Generell sollte ein bandscheibenvorfall erst einmal konservativ therapiert werden. Ein bandscheibenvorfall (bandscheibenprolaps) kann starke schmerzen auslösen. Der bandscheibenvorfall (diskusprolaps) und die bandscheibenverwölbung (diskusprotrusion) treten am häufigsten auf. Bei einem bandscheibenvorfall (bandscheibenprolaps, diskusprolaps) tritt ein teil der elastischen bandscheibe, die sich als mechanischer puffer zwischen den knochen der wirbelsäule befindet, hervor und verursacht oft starke beschwerden durch druck auf nerven in der umgebung. Computertomografie (ct) oder magnetresonanztomografie (mrt) dienen der. Aufschlussreiche bilder von der wirbelsäule. Die wirbelsäule wird aus knochen (wirbelköper), bandscheiben und bindegewebe (bänder) aufgebaut.

Vorausgegangener diskographie th 10/11 bandscheibenvorfall, da kontrastmittel auslief. Die wirbelsäule wird aus knochen (wirbelköper), bandscheiben und bindegewebe (bänder) aufgebaut. Mrt bilder bandscheibenvorfall | die pfeile weisen auf den bandscheibenvorfall, welcher in den wirbelkanal vordringt. So lange dauert ein mrt bei einem bandscheibenvorfall. Computertomografie (ct) oder magnetresonanztomografie (mrt) dienen der. Erfahre hier, was ein bandscheibenvorfall ist, welche ursachen er hat, welche therapie geeignet ist und wie du weitere beschwerden vorbeugen kannst. Die höhe der degenerierten bandscheibe beträgt noch mehr als 50 % einer gesunden bandscheibe. Ist eine lähmung der muskulatur aufgetreten, muss der bandscheibenvorfall unverzüglich operativ entfernt werden, um. Bildgebende verfahren wie computertomographie (ct), magnetresonanztomographie (mrt) oder myelographie machen es möglich, das rückenmark und die nervenwurzeln darzustellen. Durchdringt der bandscheibenkern den faserring komplett, liegt ein bandscheibenvorfall (prolaps oder auch diskusprolaps) vor. Bei einem bandscheibenvorfall kommt es durch druck auf die nervenwurzeln durch bandscheibengewebe und/oder knöchernes gewebe zu schmerzen. Ein bandscheibenvorfall (bandscheibenprolaps) kann starke schmerzen auslösen. Bandscheibenprolaps, prolapsus nuclei pulposi) verlagert sich der gallertkern im inneren der bandscheibe oder teile seines gewebes mediziner bezeichnen einen bandscheibenvorfall auch als diskusprolaps oder bandscheibenprolaps.

Bandscheibenvorfall Mrt Bilder: Die pfeile weisen auf den bandscheibenvorfall, welcher in den wirbelkanal vordringt.

Bandscheibenvorfall Mrt Bilder | Aufschlussreiche bilder von der wirbelsäule. Bei einem bandscheibenvorfall kommt es durch druck auf die nervenwurzeln durch bandscheibengewebe und/oder knöchernes gewebe zu schmerzen. Mrt bilder bandscheibenvorfall | die pfeile weisen auf den bandscheibenvorfall, welcher in den wirbelkanal vordringt. Besteht zusätzlich zu dem bandscheibenvorfall diskusprolaps (diskushernie / nukleus pulposus prolaps) eine diskusdegeneration, eine eingetrocknete bandscheibe, d.h. Nervenschäden sind bei einer messung der nervenleitgeschwindigkeit (elektroneurographie, elektromyographie) genau zu.

Bildgebende verfahren wie computertomographie (ct), magnetresonanztomographie (mrt) oder myelographie machen es möglich, das rückenmark und die nervenwurzeln darzustellen. Ein bandscheibenvorfall zeigt sich mit deutlichen symptomen. Erfahren sie mehr über die ursachen, symptome und behandlung. Vorausgegangener diskographie th 10/11 bandscheibenvorfall, da kontrastmittel auslief. Ein bandscheibenvorfall (diskusprolaps) ist ein häufiger grund für rückenschmerzen.

Bandscheibenvorfall: Ursachen, Diagnose, Therapie | Gelenk ...
Bandscheibenvorfall: Ursachen, Diagnose, Therapie | Gelenk ... from gelenk-klinik.de. Klick hier um mehr zu erfahren!
Ich habe selbst seit 2005 einen bandscheibenvorfall, welcher 2013 operiert wurde. Bei einem bandscheibenvorfall (bandscheibenprolaps, diskusprolaps) tritt ein teil der elastischen bandscheibe, die sich als mechanischer puffer zwischen den knochen der wirbelsäule befindet, hervor und verursacht oft starke beschwerden durch druck auf nerven in der umgebung. Ein bandscheibenvorfall (bandscheibenprolaps) kann starke schmerzen auslösen. Besteht zusätzlich zu dem bandscheibenvorfall diskusprolaps (diskushernie / nukleus pulposus prolaps) eine diskusdegeneration, eine eingetrocknete bandscheibe, d.h. Mrt eines bandscheibenvorfalls der lendenwirbelsäule. Die schön klinik ist auf die behandlung des akuten und chronischen bandscheibenvorfalls (bandscheibenprolaps) spezialisiert. Mrt bilder bandscheibenvorfall | die pfeile weisen auf den bandscheibenvorfall, welcher in den wirbelkanal vordringt. Hier herrscht also „nur ein verschleiß.

Wann raten mediziner zu einer op? Erfahren sie mehr über die ursachen, symptome und behandlung. Hier herrscht also „nur ein verschleiß. Die höhe der degenerierten bandscheibe beträgt noch mehr als 50 % einer gesunden bandscheibe. Gegebenenfalls müssen bei unruhe der untersuchten person einige. Eine ausführliche diagnostik mit neurologischer funktionsuntersuchung ist therapieentscheidend. Die pfeile weisen auf den bandscheibenvorfall, welcher in den wirbelkanal vordringt. Mrt bilder bandscheibenvorfall | die pfeile weisen auf den bandscheibenvorfall, welcher in den wirbelkanal vordringt. Ich habe selbst seit 2005 einen bandscheibenvorfall, welcher 2013 operiert wurde. Nervenschäden sind bei einer messung der nervenleitgeschwindigkeit (elektroneurographie, elektromyographie) genau zu. Spinal disc herniation, herniation of intervertebral disk. Mrt eines bandscheibenvorfalls der lendenwirbelsäule. Ist eine lähmung der muskulatur aufgetreten, muss der bandscheibenvorfall unverzüglich operativ entfernt werden, um.

Hier herrscht also „nur ein verschleiß. Ein bandscheibenvorfall (prolaps/discusprolaps) ist ein durchbruch eines teiles des gallertkerns der bandscheibe durch ihren faserring. Wann raten mediziner zu einer op? Gegebenenfalls müssen bei unruhe der untersuchten person einige. Wichtig für den späteren therapieerfolg ist hier ein multimodales therapiekonzept.

Kennt sich jemand mit MRT Bildern aus? (Bandscheibenvorfall)
Kennt sich jemand mit MRT Bildern aus? (Bandscheibenvorfall) from images.gutefrage.net. Klick hier um mehr zu erfahren!
Lesen sie mehr über symptome, diagnose und behandlung eines bandscheibenvorfalls! Mit hilfe eines mrt kann nach möglichen schmerzursachen gesucht werden. Wann raten mediziner zu einer op? Bildgebende verfahren wie computertomographie (ct), magnetresonanztomographie (mrt) oder myelographie machen es möglich, das rückenmark und die nervenwurzeln darzustellen. Auf diesen seiten möchte ich meine erfahrungen für andere patienten & betroffene. Der bandscheibenprolaps ist ein häufiger anlass für operative eingriffe. Ich habe nur die bilder bekommen, aber noch keinen befund. Ein bandscheibenvorfall (prolaps/discusprolaps) ist ein durchbruch eines teiles des gallertkerns der bandscheibe durch ihren faserring.

Bei einem bandscheibenvorfall kommt es durch druck auf die nervenwurzeln durch bandscheibengewebe und/oder knöchernes gewebe zu schmerzen. Hier herrscht also „nur ein verschleiß. Da das mrt bilder im abstand von millimetern macht, muss man bei der untersuchung absolut still liegen. Der bandscheibenprolaps ist ein häufiger anlass für operative eingriffe. Ich habe selbst seit 2005 einen bandscheibenvorfall, welcher 2013 operiert wurde. Wichtig für den späteren therapieerfolg ist hier ein multimodales therapiekonzept. Auf diesen seiten möchte ich meine erfahrungen für andere patienten & betroffene. Die pfeile weisen auf den bandscheibenvorfall, welcher in den wirbelkanal vordringt. Mrt bilder bandscheibenvorfall | die pfeile weisen auf den bandscheibenvorfall, welcher in den wirbelkanal vordringt. Er wird allerdings nicht immer sofort richtig erkannt und behandelt. Die mrt ist heute bei der diagnostik des bandscheibenvorfalls anderen untersuchungen vorzuziehen. Durchdringt der bandscheibenkern den faserring komplett, liegt ein bandscheibenvorfall (prolaps oder auch diskusprolaps) vor. Generell sollte ein bandscheibenvorfall erst einmal konservativ therapiert werden.

Ist eine lähmung der muskulatur aufgetreten, muss der bandscheibenvorfall unverzüglich operativ entfernt werden, um. Mrt eines bandscheibenvorfalls der lendenwirbelsäule. Besteht zusätzlich zu dem bandscheibenvorfall diskusprolaps (diskushernie / nukleus pulposus prolaps) eine diskusdegeneration, eine eingetrocknete bandscheibe, d.h. Nervenschäden sind bei einer messung der nervenleitgeschwindigkeit (elektroneurographie, elektromyographie) genau zu. Ein bandscheibenvorfall (prolaps/discusprolaps) ist ein durchbruch eines teiles des gallertkerns der bandscheibe durch ihren faserring.

MRT HWS (Halswirbelsäule): Gründe, Ablauf, Dauer ...
MRT HWS (Halswirbelsäule): Gründe, Ablauf, Dauer ... from www.praktischarzt.de. Klick hier um mehr zu erfahren!
Ist eine lähmung der muskulatur aufgetreten, muss der bandscheibenvorfall unverzüglich operativ entfernt werden, um. Generell sollte ein bandscheibenvorfall erst einmal konservativ therapiert werden. Ein bandscheibenvorfall (bandscheibenprolaps) kann starke schmerzen auslösen. Der bandscheibenvorfall (diskusprolaps) und die bandscheibenverwölbung (diskusprotrusion) treten am häufigsten auf. Bei einem bandscheibenvorfall (bandscheibenprolaps, diskusprolaps) tritt ein teil der elastischen bandscheibe, die sich als mechanischer puffer zwischen den knochen der wirbelsäule befindet, hervor und verursacht oft starke beschwerden durch druck auf nerven in der umgebung. Computertomografie (ct) oder magnetresonanztomografie (mrt) dienen der. Aufschlussreiche bilder von der wirbelsäule. Die wirbelsäule wird aus knochen (wirbelköper), bandscheiben und bindegewebe (bänder) aufgebaut.

Vorausgegangener diskographie th 10/11 bandscheibenvorfall, da kontrastmittel auslief. Die wirbelsäule wird aus knochen (wirbelköper), bandscheiben und bindegewebe (bänder) aufgebaut. Mrt bilder bandscheibenvorfall | die pfeile weisen auf den bandscheibenvorfall, welcher in den wirbelkanal vordringt. So lange dauert ein mrt bei einem bandscheibenvorfall. Computertomografie (ct) oder magnetresonanztomografie (mrt) dienen der. Erfahre hier, was ein bandscheibenvorfall ist, welche ursachen er hat, welche therapie geeignet ist und wie du weitere beschwerden vorbeugen kannst. Die höhe der degenerierten bandscheibe beträgt noch mehr als 50 % einer gesunden bandscheibe. Ist eine lähmung der muskulatur aufgetreten, muss der bandscheibenvorfall unverzüglich operativ entfernt werden, um. Bildgebende verfahren wie computertomographie (ct), magnetresonanztomographie (mrt) oder myelographie machen es möglich, das rückenmark und die nervenwurzeln darzustellen. Durchdringt der bandscheibenkern den faserring komplett, liegt ein bandscheibenvorfall (prolaps oder auch diskusprolaps) vor. Bei einem bandscheibenvorfall kommt es durch druck auf die nervenwurzeln durch bandscheibengewebe und/oder knöchernes gewebe zu schmerzen. Ein bandscheibenvorfall (bandscheibenprolaps) kann starke schmerzen auslösen. Bandscheibenprolaps, prolapsus nuclei pulposi) verlagert sich der gallertkern im inneren der bandscheibe oder teile seines gewebes mediziner bezeichnen einen bandscheibenvorfall auch als diskusprolaps oder bandscheibenprolaps.

Bandscheibenvorfall Mrt Bilder: Die pfeile weisen auf den bandscheibenvorfall, welcher in den wirbelkanal vordringt.

Show Disqus Comment Hide Disqus Comment

Disqus Comments